کاندید مناسب برای ایمپلنت بدون جراحی همیشه اولین بیماری نیست که از درد دندان شکایت میکند. این روش کمتهاجمی با وجود تمام مزایا، برای همه افراد انتخاب ایدهآل نیست و اگر بدون ارزیابی دقیق انجام شود، ریسک عوارض و شکست درمان بالا میرود. در مقابل، وقتی کاندید مناسب برای ایمپلنت بدون جراحی به درستی انتخاب شود، بیمار هم از جراحی سبک و بدون برش وسیع لثه بهره میبرد هم نتیجه طولانیمدت درمان قابل پیشبینیتر خواهد بود.
در این مقاله به صورت مرحلهبهمرحله مرور میکنیم که کاندید مناسب برای ایمپلنت بدون جراحی چه ویژگیهایی دارد، چه کسانی بهتر است از روش کلاسیک استفاده کنند و در چه شرایطی میتوان بین این دو رویکرد تصمیمگیری ترکیبی انجام داد. هدف این است که تصویر روشنی از معیارهای انتخاب بیمار برای شما و بیمارتان ایجاد شود.
معیارهای کلی برای تشخیص کاندید مناسب برای ایمپلنت بدون جراحی
در تعریف بالینی، کاندید مناسب برای ایمپلنت بدون جراحی بیماری است که سه شرط اصلی را همزمان داشته باشد: سلامت عمومی قابل قبول، بافت نرم و سخت نسبتا پایدار در ناحیه بیدندانی و توانایی رعایت بهداشت دهان و مراجعات کنترلی. اگر یکی از این ستونها به شکل جدی مشکل داشته باشد، بهتر است به سراغ روش جراحی کلاسیک یا درمانهای جایگزین برویم.
در بیشتر منابع، به این نکته اشاره شده که کاندید مناسب برای ایمپلنت بدون جراحی باید از نظر لثه، دچار التهاب فعال، پاکتهای عمیق کنترلنشده یا بیماری پریودنتال پیشرفته نباشد. وجود عفونت فعال یا بهداشت دهان بسیار ضعیف، ریسک شکست ایمپلنت را افزایش میدهد و در چنین شرایطی حتی اگر استخوان مناسب باشد، انتخاب روش flapless منطقی نیست.
نکته دیگر توان همکاری بیمار است. کاندید مناسب برای ایمپلنت بدون جراحی باید بتواند دستورالعملهای قبل و بعد از عمل را رعایت کند، مراجعات پیگیری را جدی بگیرد و توقعات واقعبینانهای از درمان داشته باشد. این موارد شاید ساده به نظر برسند، اما در موفقیت نهایی درمان نقش واقعی دارند.
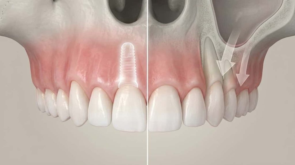
وضعیت استخوان و لثه در کاندید مناسب برای ایمپلنت بدون جراحی
اولین فاکتور فنی برای تشخیص کاندید مناسب برای ایمپلنت بدون جراحی، کیفیت و کمیت استخوان در محل ایمپلنت است. در روشهای کمتهاجمی، جراح دید مستقیم روی استخوان ندارد و برای تصمیمگیری به دادههای سیبیسیتی و برنامهریزی دیجیتال تکیه میکند. بنابراین باید عرض و ارتفاع استخوان در حد قابل قبول باشد و به ساختارهای حیاتی مثل سینوس و کانال عصب نزدیک نباشد.
در اغلب راهنماها، کاندید مناسب برای ایمپلنت بدون جراحی بیماری است که در ناحیه مورد نظر، تحلیل شدید استخوان نداشته باشد یا اگر تحلیل وجود دارد، قبلا با پیوند استخوان یا روشهای دیگر اصلاح شده باشد. وقتی نقص استخوانی وسیع است، جراحی باز با دسترسی مستقیم و احتمال انجام گرافت، از نظر ایمنی و دقت انتخاب منطقیتری است.
از دید بافت نرم نیز وجود لثه کراتینایز شده کافی یک امتیاز محسوب میشود. اگر ناحیه بیدندانی کاملا از مخاط متحرک پوشیده شده باشد، ممکن است نیاز به اصلاح بافت نرم یا انتخاب تکنیک متفاوتی باشد و در این وضعیت هر بیماری را نمیتوان کاندید مناسب برای ایمپلنت بدون جراحی دانست.
تاثیر سن و بیماریهای سیستمیک بر کاندید مناسب برای ایمپلنت بدون جراحی
سن به تنهایی معیار رد یا قبول نیست، اما در کنار بیماریهای زمینهای اهمیت پیدا میکند. بسیاری از بیماران میانسال و سالمند با سلامت عمومی نسبی میتوانند کاندید مناسب برای ایمپلنت بدون جراحی باشند، به شرطی که کنترل دارویی خوبی داشته باشند و از نظر قلبیعروقی، دیابت و فشار خون در وضعیت پایدار قرار گیرند.
در بیماران دیابتی کنترلنشده، سیگاریهای سنگین یا افرادی که داروهای خاصی مانند بیسفسفوناتهای تزریقی مصرف میکنند، شرایط پیچیدهتر میشود. در این گروهها گاهی مزیت کمتهاجمی بودن جراحی با خطر ترمیم ضعیف بافتها رقابت میکند. بنابراین کاندید مناسب برای ایمپلنت بدون جراحی در این دسته کسانی هستند که دیابت کنترلشده، سیگار محدود و ارزیابی دقیق پزشکی دارند و تیم درمانی آمادگی مدیریت ریسک را دارد.
مصرف داروهای رقیقکننده خون نیز موضوع دیگری است. یکی از دلایل توجه به این روش، کاهش خونریزی است، اما تصمیم نهایی برای این که بیمار با این شرایط کاندید مناسب برای ایمپلنت بدون جراحی هست یا نه، باید با هماهنگی پزشک معالج و بر اساس سطح ریسک فردی گرفته شود.
کاندید مناسب برای ایمپلنت بدون جراحی در ناحیه قدامی و خلفی

شرایط ناحیه قدامی فک از نظر زیبایی و آناتومی با ناحیه خلفی متفاوت است. در ناحیه جلویی، کاندید مناسب برای ایمپلنت بدون جراحی باید علاوه بر استخوان کافی، وضعیت لثه و خط لبخند مطلوبی داشته باشد تا بتوان فرم طبیعی پاپیلا و حاشیه لثه را حفظ کرد. در این ناحیه، تکنیک flapless به حفظ معماری بافت نرم و جلوگیری از تحلیل لثه بیندندانی کمک میکند.
در نواحی خلفی، تاکید بیشتر روی تحمل نیروهای جویدن و فاصله از ساختارهایی مانند سینوس ماگزیلا است. در اینجا کاندید مناسب برای ایمپلنت بدون جراحی کسی است که ضخامت استخوان کرستال و فاصله تا کف سینوس در سیبیسیتی تایید شده باشد و نیازی به سینوسلیفت گسترده نباشد. در غیر این صورت، استفاده از روشهای پیوند استخوان و جراحی باز منطقیتر خواهد بود.
به طور کلی میتوان گفت بیمارانی که به دنبال جایگزینی یک یا دو دندان با فضای مناسب و استخوان کافی هستند، شانس بالاتری دارند که کاندید مناسب برای ایمپلنت بدون جراحی باشند، نسبت به کسانی که چند ناحیه بیدندانی پیچیده و تحلیل شدید استخوانی دارند.
نقش تکنولوژی دیجیتال در انتخاب کاندید مناسب برای ایمپلنت بدون جراحی
امروزه ارزیابی کاندید مناسب برای ایمپلنت بدون جراحی بدون استفاده از تصویربرداری سهبعدی و طراحی دیجیتال تقریبا غیرقابل تصور است. سیبیسیتی امکان اندازهگیری دقیق ارتفاع و عرض استخوان، موقعیت عصب، سینوس و ریشه دندانهای مجاور را فراهم میکند و بر اساس این دادهها میتوان تشخیص داد بیمار واقعا کاندید مناسب برای ایمپلنت بدون جراحی هست یا خیر.
در بسیاری از پروتکلها، پس از اسکن، طرح ایمپلنت در نرمافزار طراحی و گاید جراحی چاپ سهبعدی ساخته میشود. وقتی طرح نشان میدهد که زاویه و عمق مناسب بدون باز کردن فلپ قابل دسترسی است، بیمار در گروه کاندید مناسب برای ایمپلنت بدون جراحی قرار میگیرد. اگر تحلیل شدید یا ریسک برخورد با ساختارهای حیاتی مشاهده شود، معمولا روش جراحی باز یا ترکیبی پیشنهاد میشود.
به این ترتیب، انتخاب کاندید مناسب برای ایمپلنت بدون جراحی در دندانپزشکی امروز صرفا بر اساس معاینه چشمی و رادیوگرافی دوبعدی نیست، بلکه فرآیندی دادهمحور و قابل مستندسازی است که میتواند با بیمار به زبان ساده به اشتراک گذاشته شود.
چه بیمارانی کاندید مناسب برای ایمپلنت بدون جراحی نیستند؟
برای تکمیل تصویر، باید گروههایی را هم بشناسیم که بهطور معمول کاندید مناسب برای ایمپلنت بدون جراحی محسوب نمیشوند. افرادی که تحلیل شدید استخوانی دارند و نیازمند پیوند حجیم استخوان هستند، بیماران با عفونت فعال در ناحیه مورد نظر، کسانی که به هیچ عنوان امکان رعایت بهداشت و پیگیری درمان را ندارند، یا بیماران با بیماریهای سیستمیک کنترلنشده، نمونههای رایج این گروه هستند.
همچنین در مواردی که دسترسی جراحی بسیار محدود است یا نیاز به مانورهای خاص برای جهتدهی بافت نرم وجود دارد، پزشک ممکن است ترجیح دهد به جای استفاده از مزایای روش پانچی، با جراحی باز کنترل بیشتری روی بافتها داشته باشد. در چنین شرایطی، بیمار هرچند ممکن است تصور کند کاندید مناسب برای ایمپلنت بدون جراحی است، اما ارزیابی علمی چیز دیگری را نشان میدهد و باید این موضوع برای او شفاف توضیح داده شود.
سخن آخر
انتخاب کاندید مناسب برای ایمپلنت بدون جراحی یک تصمیم ساده و یکمرحلهای نیست، بلکه نتیجه جمعبندی اطلاعات مربوط به سلامت عمومی، وضعیت استخوان و لثه، شرایط موضعی، تکنولوژی در دسترس و تجربه تیم درمانی است. هرچه این ارزیابی دقیقتر انجام شود، احتمال این که بیمار هم از جراحی کمتهاجمی بهرهمند شود و هم نتیجه بلندمدت مطلوبی بگیرد، بیشتر خواهد بود.
در نهایت، کاندید مناسب برای ایمپلنت بدون جراحی کسی است که هم از نظر علمی شرایط کافی را داشته باشد و هم از نظر ذهنی و رفتاری برای همکاری در طول درمان آماده باشد. برای درک بهتر تکنیکها، مراحل و مزایای این رویکرد، مطالعه مقاله جامع ایمپلنت بدون جراحی میتواند تصویر کاملتری از فرآیند از برنامهریزی تا جراحی و پروتز در اختیار شما قرار دهد.
سوالات متداول درباره کاندید مناسب برای ایمپلنت بدون جراحی
۱. مهمترین شرط برای این که یک بیمار کاندید مناسب برای ایمپلنت بدون جراحی باشد چیست؟
مهمترین شرط، وجود استخوان کافی از نظر ارتفاع و عرض در ناحیه بیدندانی است. اگر سیبیسیتی نشان دهد که استخوان به حد قابل قبول وجود دارد و فاصله ایمن از سینوس یا کانال عصب رعایت میشود، بیمار میتواند به عنوان کاندید مناسب برای ایمپلنت بدون جراحی در نظر گرفته شود، به شرطی که سایر شرایط عمومی و لثهای نیز مناسب باشد.
۲. آیا بیمار دیابتی میتواند کاندید مناسب برای ایمپلنت بدون جراحی باشد؟
بله، اگر دیابت به خوبی کنترل شده باشد و آزمایشها وضعیت مناسبی را نشان دهند، بیمار دیابتی میتواند کاندید مناسب برای ایمپلنت بدون جراحی باشد. در دیابت کنترلنشده، ریسک عفونت و اختلال ترمیم بالاست و در این حالت معمولا ابتدا باید بیماری زمینهای مدیریت شود، سپس درباره نوع جراحی تصمیم گرفته شود.
۳. سیگار کشیدن چه تأثیری بر انتخاب کاندید مناسب برای ایمپلنت بدون جراحی دارد؟
سیگار یکی از عوامل منفی برای ترمیم بافت و جوش خوردن ایمپلنت است. سیگاریهای سنگین معمولا کاندید ایدهآل برای روشهای کمتهاجمی نیستند، اما در موارد مصرف محدود و با برنامه کاهش یا قطع سیگار، میتوان برخی بیماران را هنوز کاندید مناسب برای ایمپلنت بدون جراحی دانست، البته با آگاهی کامل بیمار از ریسکها.
۴. آیا ایمپلنت بدون جراحی برای ناحیه قدامی همیشه انتخاب بهتری است؟
در ناحیه قدامی، حفظ لثه و زیبایی اهمیت زیادی دارد و همین موضوع میتواند این نواحی را برای کاندید مناسب برای ایمپلنت بدون جراحی جذاب کند. با این حال اگر نقص استخوانی شدید یا مشکلات لثه وجود داشته باشد، ممکن است جراحی باز برای بازسازی بهتر بافتها انتخاب شود. تصمیم نهایی بعد از بررسی سیبیسیتی و معاینه کامل گرفته میشود.
۵. چه زمانی با وجود علاقه بیمار، او کاندید مناسب برای ایمپلنت بدون جراحی محسوب نمیشود؟
وقتی تحلیل شدید استخوان، عفونت فعال، بیماری سیستمیک کنترلنشده، بهداشت دهان بسیار ضعیف یا نیاز به پیوند گسترده استخوان وجود داشته باشد، بیمار با وجود علاقه، کاندید مناسب برای ایمپلنت بدون جراحی نیست. در این موارد، اولویت با روشهای بازسازی و جراحی کلاسیک یا حتی طرح درمانهای جایگزین است.




