در درمانهای زیبایی و ترمیمی مدرن، موفقیت نهایی تنها به تطابق شکل و عملکرد ترمیم محدود نمیشود؛ هماهنگی دقیق رنگ و شید دندان با ساختارهای طبیعی، نقش تعیینکنندهای در رضایت بیمار و ارزیابی حرفهای درمان دارد. در یک لابراتوار تخصصی دیجیتال، مدیریت رنگ فرآیندی ساختارمند و چندمرحلهای است که از لحظه انتخاب شید در کلینیک آغاز شده و تا کنترل نهایی ترمیم پیش از تحویل ادامه مییابد. این مقاله به بررسی علمی و عملی مدیریت رنگ و شید در لابراتوار دیجیتال دندانسازی، با تأکید بر نقش لابراتوار تخصصی دیجیتال اسپیدنت (Speedent Lab) میپردازد.
اهمیت مدیریت رنگ در درمانهای زیبایی و ترمیمی
در درمانهایی مانند لمینیت سرامیکی، روکشهای تمام سرامیک، زیرکونیا و ترمیمهای ایمپلنت در ناحیه قدامی، کوچکترین اختلاف در روشنایی یا تونالیته رنگی میتواند برای بیمار قابل تشخیص باشد. مدیریت رنگ در این موارد نهتنها از دیدگاه زیبایی، بلکه از نظر اعتماد بیمار به تیم درمان نیز حیاتی است. یک سیستم مدیریت رنگ استاندارد، خطاهای تکرارپذیر را کاهش داده و امکان بازتولید نتایج مشابه در کیسهای مختلف را فراهم میکند.
اصول پایه درک رنگ در دندانپزشکی
فام، اشباع و روشنایی (Hue, Chroma, Value)
درک علمی رنگ دندان بر سه مؤلفه اصلی استوار است: فام یا Hue (تُن رنگی مانند زرد، قرمز)، اشباع یا Chroma (شدت رنگ) و روشنایی یا Value (درجه روشن یا تیره بودن). بسیاری از شکستهای رنگی در ترمیمها ناشی از نادیده گرفتن Value یا تخمین نادرست Chroma است. در لابراتوار دیجیتال، این سه مؤلفه با استفاده از راهنماهای رنگ استاندارد، ابزارهای دیجیتال و تجربه تکنسین در مرحله لایرینگ و رنگآمیزی کنترل میشود.
متامریزم و تأثیر شرایط نوری
متامریزم پدیدهای است که در آن دو جسم زیر یک منبع نور مشابه به نظر میرسند اما در نور دیگر متفاوت دیده میشوند. در دندانپزشکی، این پدیده زمانی اهمیت پیدا میکند که ترمیم در نور یونیت، نور روز و نور داخلی محیطهای مختلف به شکل متفاوتی درک شود. انتخاب منبع نور استاندارد در کلینیک و لابراتوار و استفاده از جعبههای نور (Light Box) با دمای رنگ کنترلشده، از راهکارهای کاهش متامریزم است.
نقش لابراتوار دیجیتال در انتخاب و مدیریت رنگ
در یک لابراتوار تخصصی دیجیتال دندانسازی، مدیریت رنگ محدود به انتخاب شید اولیه نیست؛ بلکه ترکیبی از ثبت دادههای دیجیتال، طراحی، انتخاب متریال و کنترل کیفیت نهایی است. استفاده از سیستمهای CAD/CAM، متریالهای ترانسلوسنت و امکانات رنگآمیزی دقیق، امکان تطابق بهتر با ساختار دندان طبیعی را فراهم میکند. لابراتوار دیجیتال اسپیدنت با طراحی پروتکلهای مشخص برای دریافت اطلاعات رنگی از کلینیک و ثبت آنها در پرونده دیجیتال بیمار، خطای انسانی را تا حد زیادی کاهش میدهد.
ابزارهای دیجیتال برای تعیین شید دندان
عکاسی دیجیتال دندانی و استانداردسازی شرایط ثبت تصویر
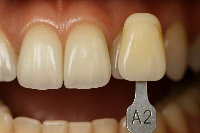
عکاسی دیجیتال یکی از مهمترین ابزارهای ارتباطی بین دندانپزشک و لابراتوار است. استفاده از دوربین DSLR یا Mirrorless با لنز ماکرو، فیلتر پلاریزه در صورت نیاز و فلشهای Ring یا Twin، به ثبت جزئیات رنگی، ترانسلوسنسی و ویژگیهای سطحی کمک میکند. ثبت تصاویر با تنظیمات ثابت، همراه با قرار دادن راهنمای رنگ (Shade Guide) در کنار دندان مرجع، امکان تحلیل دقیقتر رنگ را در لابراتوار فراهم میسازد.
دستگاههای شید اسکنر و اسپکتروفوتومتر
دستگاههای دیجیتال تعیین رنگ مانند اسپکتروفوتومترها، دادههای عددی قابل تکرار ارائه میدهند. این دستگاهها با تاباندن نور و تحلیل بازتاب طیفی از سطح دندان، رنگ را در قالب پارامترهای استاندارد مانند Lab* گزارش میکنند. این دادهها در کنار عکسهای با کیفیت و راهنمای رنگ مرسوم، پایهای علمی برای انتخاب شید مناسب و تنظیم رنگ سرامیک در لابراتوار ایجاد میکند. استفاده از این سیستمها در کنار تجربه تکنسین، میزان بازساخت مجدد ترمیم به دلیل اختلاف رنگ را بهطور قابل توجهی کاهش میدهد.
پروتکل ارتباط رنگی بین کلینیک و لابراتوار

فرم رنگ، عکسهای استاندارد و اطلاعات تکمیلی
برای مدیریت مؤثر رنگ، استفاده از فرمهای اختصاصی رنگ که در آن اطلاعاتی مانند شید انتخابی، ویژگیهای خاص لبه انسیزال، لکههای سفید یا قهوهای، ترکهای ایناملی و ترانسلوسنسی ثبت میشود، ضروری است. این فرمها همراه با مجموعهای از عکسهای استاندارد (نمای فرونتال، کلوزآپ، نمای کراس پولارایزد) و در صورت نیاز، نمونه فیزیکی یا موقت در اختیار لابراتوار قرار میگیرد.
ثبت اطلاعات دیجیتال در پرونده بیمار
در لابراتوار دیجیتال، تمامی اطلاعات رنگی در پرونده الکترونیک بیمار ذخیره میشود. این موضوع امکان بازبینی و بازتولید ترمیمها در آینده را فراهم کرده و در کیسهای متعدد برای یک بیمار، ثبات رنگی را تضمین میکند. همچنین، تحلیل دادههای رنگی در طول زمان میتواند به بهینهسازی پروتکلهای داخلی لابراتوار کمک کند.
مدیریت رنگ در ترمیمهای سرامیکی و زیرکونیا
انتخاب نوع متریال (لیتیوم دیسیلیکات، زیرکونیای ترانسلوسنت، سرامیک فلدسپاتیک و …) تأثیر مستقیمی بر نتیجه رنگی دارد. برای مثال، در مواردی که زیرساخت تیره یا ایمپلنت فلزی وجود دارد، کنترل Value و ماسکهکردن رنگ زیرین اهمیت دوچندان پیدا میکند. در Speedent Lab با توجه به ضخامت در دسترس، رنگ زیرساخت، شید انتخابی و شرایط ناحیه (قدامی یا خلفی)، ترکیب مناسبی از متریال و تکنیک لایرینگ یا استین انتخاب میشود تا تطابق رنگی بهینه حاصل شود.
کنترل کیفیت رنگ و اصلاحات نهایی در لابراتوار دیجیتال اسپیدنت
پس از اتمام ساخت ترمیم، ارزیابی رنگ بر روی مدل و زیر نور استاندارد انجام میشود. در صورت نیاز، اصلاحات موضعی با رنگآمیزی (Characterization) و گلیز نهایی صورت میگیرد. در موارد پیچیده، ثبت تصاویر جدید از ترمیم روی مدل و ارسال آنها برای تأیید دندانپزشک، احتمال نیاز به تکرار را کاهش میدهد. لابراتوار تخصصی دیجیتال اسپیدنت با تکیه بر پروتکلهای کنترل کیفیت و بازخورد مستمر از کلینیکها تلاش میکند نرخ ناهماهنگی رنگ را به حداقل برساند.
برای آشنایی با سایر خدمات دیجیتال در حوزه پروتز و ترمیمهای زیبایی میتوان از صفحات مدیریت رنگ دیجیتال در دندانسازی، خدمات لمینیت و روکش سرامیکی و صفحه تماس با ما بازدید کرد.
چالشهای رایج در مدیریت رنگ و راهکارهای عملی
اختلاف شرایط نوری کلینیک و لابراتوار، تفاوت نوع راهنمای رنگ، عدم ثبت کافی جزئیات در فرمها و تغییر رنگ بافتهای مجاور در طول درمان از مهمترین چالشها هستند. استفاده از یک سیستم راهنمای رنگ مشترک، استانداردسازی نور، ارسال عکسهای بهروز در مراحل مختلف (بهویژه پس از پایان درمانهای پریو یا سفیدکردن)، و بهکارگیری ابزارهای دیجیتال تعیین رنگ، راهکارهایی هستند که میتوانند این چالشها را تا حد زیادی برطرف کنند. مطالعه منابع علمی معتبر مانند راهنماهای شرکتهای تولیدکننده سیستمهای رنگ و مقالات پژوهشی در پایگاههایی مانند بانکهای مقالات بالینی بینالمللی نیز به بهروزرسانی دانش رنگی تیم درمان کمک میکند.
جمعبندی؛ استانداردسازی پروتکل رنگ در لابراتوار دیجیتال
مدیریت رنگ و شید در لابراتوار دیجیتال دندانسازی، فرآیندی است که از همکاری نزدیک بین دندانپزشک و لابراتوار آغاز میشود و بر پایه درک علمی رنگ، ابزارهای دیجیتال و پروتکلهای دقیق ثبت و کنترل کیفیت استوار است. لابراتوار تخصصی دیجیتال اسپیدنت با استفاده از عکاسی استاندارد، دستگاههای تعیین رنگ، متریالهای پیشرفته و تیم آموزشدیده، تلاش میکند تطابق رنگی ترمیمها را به سطحی قابل پیشبینی و حرفهای برساند. نتیجه این رویکرد، افزایش رضایت بیماران و ارتقای کیفیت درمانهای زیبایی و ترمیمی در کلینیکهای همکار است.
سوالات متداول درباره مدیریت رنگ و شید در لابراتوار دیجیتال دندانسازی

چرا مدیریت رنگ در لابراتوار دیجیتال دندانسازی اهمیت دارد؟
در درمانهای زیبایی مانند لمینیت و روکش سرامیکی، کوچکترین اختلاف در شید و روشنایی دندان برای بیمار قابل تشخیص است. مدیریت رنگ استاندارد در لابراتوار دیجیتال باعث کاهش خطای انسانی، افزایش پیشبینیپذیری نتیجه و کاهش نیاز به تکرار ترمیم میشود.
نقش عکاسی دیجیتال در انتخاب رنگ دندان چیست؟
عکاسی دیجیتال با شرایط نوری و تنظیمات کنترلشده، امکان ثبت دقیق جزئیات رنگی و ترانسلوسنسی دندان را فراهم میکند. قرار دادن راهنمای رنگ در تصویر، به تکنسین لابراتوار کمک میکند شید نهایی ترمیم را با دقت بیشتری با دندانهای مجاور هماهنگ کند.
اسپکتروفوتومتر چه کمکی به مدیریت شید دندان میکند؟
اسپکتروفوتومتر با اندازهگیری بازتاب طیفی از سطح دندان، رنگ را بهصورت دادههای عددی استاندارد (مانند L*a*b*) گزارش میکند. این اطلاعات در کنار تجربه تکنسین و دادههای تصویری، پایهای علمی برای انتخاب شید و تنظیم رنگ سرامیک در لابراتوار دیجیتال فراهم میسازد.
چگونه میتوان خطای رنگ بین کلینیک و لابراتوار را کاهش داد؟
استفاده از فرم رنگ کامل، ارسال عکسهای استاندارد، بهکارگیری راهنمای رنگ مشترک، استفاده از منبع نور استاندارد و در صورت امکان استفاده از دستگاههای دیجیتال تعیین شید، مهمترین راهکارها برای کاهش اختلاف رنگ بین نتیجه مورد انتظار دندانپزشک و ترمیم ساختهشده در لابراتوار است.
نقش لابراتوار تخصصی دیجیتال اسپیدنت در مدیریت رنگ چیست؟
Speedent Lab با استفاده از پروتکلهای مشخص برای دریافت اطلاعات رنگی، ابزارهای دیجیتال، متریالهای ترانسلوسنت و سیستم کنترل کیفیت ساختارمند، تلاش میکند ترمیمهایی با تطابق رنگی بالا و پایدار ارائه دهد و در کنار کلینیک، تجربه درمانی مطلوبی برای بیمار ایجاد کند.




