اوردنچر متکی بر ایمپلنت در بیماران بیدندان، همیشه دو نیاز اساسی وجود دارد؛ ثبات پروتز هنگام جویدن و امکان تمیز کردن و نگهداری آسان. اوردنچر متکی بر ایمپلنت پاسخی است که این دو نیاز را در قالب یک طرح درمان ترکیبی برآورده میکند: پروتزی که با کمک ایمپلنتها نسبت به دست دندان معمولی بسیار پایدارتر است، اما همچنان توسط بیمار برای بهداشت روزانه قابل خارج کردن است. این رویکرد میتواند در بسیاری از موارد جایگزین مناسبی برای دست دندان کلاسیک و در عین حال گزینهای مقرونبهصرفهتر نسبت به پروتزهای فول آرچ ثابت باشد.
اوردنچر متکی بر ایمپلنت چیست؟
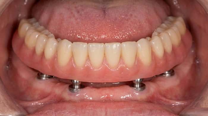
اوردنچر متکی بر ایمپلنت، پروتز متحرکی است که روی چند ایمپلنت قرار میگیرد و با اتچمنتهای خاص روی آنها قفل میشود. در این سیستم، ایمپلنتها ثبات و حمایت اصلی را فراهم میکنند و مخاط نقش ثانویه در تحمل نیرو دارد. اوردنچر میتواند روی اتچمنتهای تکی مانند لوکیتور یا روی یک بار فلزی که چند ایمپلنت را به هم متصل میکند، سوار شود. تفاوت آن با پروتز ثابت در این است که بیمار میتواند پروتز را برای تمیز کردن خارج کند.
چه زمانی اوردنچر متکی بر ایمپلنت انتخاب منطقی است؟
بیماران بیدندان با ناراحتی از دست دندان معمولی
یکی از اندیکاسیونهای اصلی اوردنچر، بیمارانی هستند که از بیثباتی، جابهجایی حین صحبت یا زخم شدن مخاط در اثر دست دندان معمولی شکایت دارند؛ بهخصوص در فک پایین، که نگهداری دست دندان کلاسیک بهدلیل آناتومی و حرکت زبان دشوارتر است. با افزودن چند ایمپلنت استراتژیک، پروتز با اتچمنتهای مناسب روی ایمپلنتها قفل و به شکل قابلتوجهی پایدارتر میشود.
شرایط استخوانی و سیستمیک
در برخی بیماران، حجم استخوان یا وضعیت عمومی سلامتی اجازه کاشت تعداد زیاد ایمپلنت و پروتزهای فول آرچ ثابت را نمیدهد. در این موارد، استفاده از ۲ تا ۴ ایمپلنت در فک پایین یا ۴ ایمپلنت در فک بالا برای اوردنچر میتواند تعادل قابل قبولی بین تهاجم جراحی، هزینه و عملکرد ایجاد کند. آشنایی با طیف کامل درمانهای ایمپلنتی در صفحه پروتز ایمپلنت به درک بهتر جایگاه اوردنچر کمک میکند.
انواع اوردنچر متکی بر ایمپلنت
اوردنچر با اتچمنتهای لوکیتور (Locator)
در این سیستم، بر روی هر ایمپلنت یک اتچمنت تکی (مانند لوکیتور) قرار میگیرد و بخش مقابل آن در داخل پروتز جایگذاری میشود. این ساختار معمولاً طراحی سادهتری دارد، ریتنشن با اینسرتهای قابل تعویض تنظیم میشود و سرویس آن در ویزیتهای دورهای نسبتاً آسان است. در بسیاری از بیماران فک پایین، دو ایمپلنت با اتچمنتهای لوکیتور میتواند تفاوت قابلتوجهی نسبت به دست دندان ساده ایجاد کند.
اوردنچر متکی بر بار (Bar overdenture)
در اوردنچر متکی بر بار، چند ایمپلنت توسط یک بار فلزی یا تیتانیومی به هم متصل میشوند و پروتز روی این بار با اتچمنتهای مختلف (کلیپس، بار–کلیپ و غیره) قفل میشود. این طراحی میتواند توزیع نیرو را بهبود دهد و ریتنشن بالاتری ایجاد کند، اما ساخت آن پیچیدهتر است و نیاز به فضای عمودی کافی و همکاری دقیق با لابراتوار تخصصی دیجیتال دارد.
تفاوت با پروتز فول آرچ ثابت روی ایمپلنت
در فول آرچ روی ایمپلنت، پروتز بهصورت ثابت و پیچشونده روی ایمپلنتها قرار میگیرد و بیمار آن را خارج نمیکند. در مقابل، اوردنچر توسط بیمار برداشته میشود. فول آرچ ثابت از نظر احساس شبیه دندان طبیعیتر است اما هزینه و نیاز به تعداد ایمپلنت بیشتری دارد، در حالیکه اوردنچر از نظر دسترسی به بهداشت و مقرونبهصرفه بودن برتری نسبی دارد.

اصول طرح درمان در اوردنچر متکی بر ایمپلنت
تعداد و موقعیت ایمپلنتها در فک بالا و پایین
تعداد ایمپلنتها در فک پایین معمولاً ۲ تا ۴ واحد و در فک بالا اغلب ۴ ایمپلنت یا بیشتر است تا به ثبات مطلوب برسیم. مسیر ایمپلنتها، زاویه قرارگیری و فاصله بین آنها باید بهگونهای طراحی شود که با نوع اتچمنت انتخابی (لوکیتور یا بار) سازگار باشد و امکان تمیزکردن هم حفظ شود. در این زمینه، طبقهبندی پروتزهای ثابت و متحرک متکی بر ایمپلنت در مقاله انواع پروتز ثابت روی ایمپلنت تصویر کلیتری ارائه میدهد.
فضای عمودی، خط لبخند و حمایت لب
در طرح درمان، بررسی فضای عمودی موجود برای ایمپلنت، اتچمنت و ضخامت پروتز ضروری است. علاوه بر آن، باید مشخص شود که تا چه حد به حمایت لب و بازسازی بافت نرم نیاز داریم؛ زیرا طراحی فلنج پروتز و موقعیت دندانها در اوردنچر نقش مهمی در زیبایی و پروفایل صورت دارد.
مراحل ساخت اوردنچر متکی بر ایمپلنت در کلینیک و لابراتوار
ارزیابی اولیه، عکس، CBCT و قالب/اسکن
فرآیند با معاینه کامل، عکسهای داخل و خارج دهانی و CBCT برای تحلیل استخوان آغاز میشود. پس از کاشت ایمپلنتها و طی دوره ترمیم، قالبگیری یا اسکن دیجیتال از ایمپلنتها (با استفاده از ایمپرشن کوپینگ یا اسکنبادی) انجام میشود. دقت این مرحله در فیت بار یا اتچمنتها بسیار مؤثر است.
ساخت پروتز موقت یا دست دندان اولیه
در بسیاری از موارد، ابتدا دست دندان کامل یا پروتز موقت ساخته میشود تا روابط فکی، ارتفاع عمودی، فرم دندانها و خط لبخند تنظیم شود. این پروتز میتواند الگوی طراحی اوردنچر نهایی باشد و به بیمار اجازه میدهد فرم جدید دندانها را تجربه کند.
ثبت بایت و طراحی اتچمنتها در لابراتوار دیجیتال
پس از تثبیت روابط فکی، اطلاعات به لابراتوار تخصصی دیجیتال ارسال میشود. در محیط CAD، بار یا محل اتچمنتهای تکی طراحی و سپس با تکنولوژی CAM ساخته میشود. ساختار پروتز روی این طراحی سوار شده و نواحی اتچمنت در پروتز تعبیه میگردد. برای آشنایی بیشتر با روند ساخت دیجیتال، مطالعه مراحل ساخت پروتز دندانی دیجیتال مفید است.
مزایا و محدودیتهای اوردنچر متکی بر ایمپلنت
مزایا شامل افزایش قابلتوجه ثبات نسبت به دست دندان معمولی، بهبود جویدن، گفتار و اعتماد به نفس بیمار، امکان خارجکردن پروتز برای تمیزکردن و هزینه کمتر نسبت به بسیاری از طرحهای ثابت فول آرچ است. در مقابل، نیاز به مراقبت منظم از ایمپلنتها، سرویس دورهای اتچمنتها و سازگاری بیمار با روند خارجکردن و تمیزکردن روزانه، از نکاتی است که باید در برنامه درمان درنظر گرفته شود.
مراقبت و فالوآپ در بیماران دارای اوردنچر متکی بر ایمپلنت
مراقبت از ایمپلنت در بیماران دارای اوردنچر، ترکیبی از بهداشت پروتز و حفظ سلامت بافتهای اطراف ایمپلنت است. پروتز باید روزانه خارج، شسته و تمیز شود و اطراف اتچمنتها و ایمپلنتها با مسواک نرم، برس بیندندانی یا واترجت تمیز گردد. اصول کلی این بخش با آنچه در مقاله مراقبت از ایمپلنت دندان بیان شده همراستا است. مراجعات دورهای برای بررسی وضعیت اتچمنتها، تعویض اینسرتهای فرسوده و تنظیم پروتز ضرورت دارد.
نقش لابراتوار تخصصی دیجیتال اسپیدنت در کیفیت اوردنچر
کیفیت اوردنچر متکی بر ایمپلنت فقط به انتخاب نوع اتچمنت وابسته نیست؛ بلکه به دقت طراحی بار یا اتچمنتها، ساخت پروتز و امکان دسترسی به بهداشت نیز بستگی دارد. لابراتوار تخصصی دیجیتال اسپیدنت با استفاده از طراحی CAD/CAM، میتواند شکل بار، محل اتچمنتها، ضخامت اکریلیک و فرم فلنج پروتز را بهگونهای تنظیم کند که هم از نظر بیومکانیک و هم از نظر زیبایی و سهولت تمیزکردن، نتیجه مطلوبتری به دست آید. هماهنگی با راهنماهایی مانند چکلیست ارسال کیس به لابراتوار دیجیتال دندانسازی، دقت این روند را افزایش میدهد.
جمعبندی
اوردنچر متکی بر ایمپلنت، گزینهای انعطافپذیر میان دست دندان معمولی و پروتزهای ثابت فول آرچ است. این درمان با استفاده از چند ایمپلنت، ثبات پروتز را بهطور محسوسی افزایش میدهد و در عین حال امکان خارجکردن برای بهداشت روزانه را حفظ میکند. موفقیت بلندمدت اوردنچر وابسته به طرح درمان صحیح، طراحی دقیق پروتز و اتچمنتها، همکاری مستمر با لابراتوار تخصصی دیجیتال و تعهد بیمار به مراقبت و مراجعات دورهای است.

سوالات متداول درباره اوردنچر متکی بر ایمپلنت
اوردنچر متکی بر ایمپلنت چه تفاوتی با دست دندان معمولی دارد؟
در اوردنچر متکی بر ایمپلنت، پروتز روی چند ایمپلنت با اتچمنتهای خاص قفل میشود و ثبات بسیار بیشتری نسبت به دست دندان معمولی دارد. این موضوع باعث بهبود جویدن، گفتار و کاهش جابهجایی پروتز در دهان میشود، در حالی که بیمار همچنان میتواند پروتز را برای تمیزکردن خارج کند.
برای اوردنچر متکی بر ایمپلنت معمولاً چند ایمپلنت لازم است؟
در فک پایین معمولاً ۲ تا ۴ ایمپلنت برای اوردنچر استفاده میشود و در فک بالا اغلب ۴ ایمپلنت یا بیشتر توصیه میشود. تعداد نهایی به کیفیت استخوان، طرح پروتزی و نوع اتچمنت انتخابی بستگی دارد.
کدام بهتر است؛ اوردنچر متکی بر ایمپلنت یا پروتز فول آرچ ثابت؟
هر دو طرح جایگاه خود را دارند. فول آرچ ثابت حس نزدیکتری به دندان طبیعی ایجاد میکند اما هزینه و نیاز به تعداد ایمپلنت بیشتری دارد و بیمار نمیتواند آن را خارج کند. اوردنچر متکی بر ایمپلنت از نظر هزینه مقرونبهصرفهتر است و بهداشت آن به دلیل قابلیت خارج کردن پروتز آسانتر است، اما همچنان متحرک محسوب میشود.
آیا مراقبت از اوردنچر متکی بر ایمپلنت پیچیده است؟
مراقبت نیازمند نظم روزانه است، اما پیچیده نیست. پروتز باید روزانه خارج و تمیز شود و اطراف اتچمنتها و ایمپلنتها با مسواک نرم، نخ مخصوص یا برس بیندندانی پاکسازی گردد. مراجعات دورهای برای کنترل وضعیت اتچمنتها و سلامت ایمپلنت نیز ضروری است.
اتچمنتهای اوردنچر هر چند وقت یکبار نیاز به تعویض یا سرویس دارند؟
میزان سایش اتچمنتها به شدت استفاده، عادات جویدن و بهداشت بیمار بستگی دارد، اما معمولاً در فواصل چند ساله نیاز به تعویض اینسرتها یا تنظیم ریتنشن وجود دارد. در ویزیتهای دورهای، دندانپزشک وضعیت اتچمنتها را بررسی و در صورت لزوم آنها را سرویس میکند.




